Video Interview with Microbiologist Marianne Middelveen

Marianne Middelveen Interview

Microbiologist Marianne Middelveen joined us on August 14th 2019 to discuss her work researching Morgellons disease. Can you tell us what kind of science you practice and describe how that applies to your work? What is the extent of your involvement with the Charles Holman Foundation? Is the diagnostic criteria for Morgellons just the fibers … Read more

Dr. Ginger Savely, DNP Livestream

Thursday December 7th, 2:00PM EST with Dr. Ginger Savely, DNP author of Morgellons: The Legitimization of a Disease. [amazon_link asins=’0997920025′ template=’ProductCarousel’ store=’morgello-20′ marketplace=’US’ link_id=’4015c210-d9e7-11e7-a53d-e5106d256dc3′] Dr. Savely has worked for years treating Morgellons patients, and offers experienced insight into the disease on her website: http://gingersavely.com

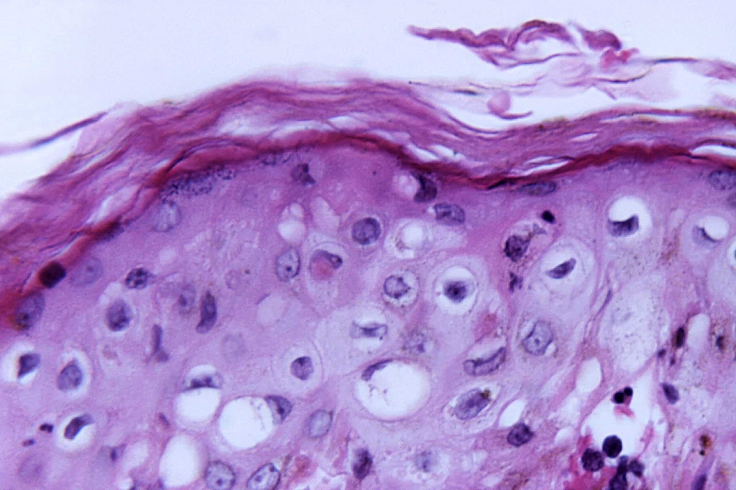
Bacterial Biofilm Infections: Personalizing Patient Treatment

Bacterial Biofilm Infections

Bacterial biofilms, surface adherent communities of bacteria that are encased in a secreted extracellular matrix of polymeric molecules, can cause diverse pathologies ranging from food poisoning and catheter infections to gum disease and the rejection of medical implants. Though the economic impact of biofilms is in the tens of billions of dollars per year, there is currently a paucity of means for preventing their formation or treating them once they are established. Compared to the free-floating “planktonic” lifestyle, within biofilms bacteria adopt differential gene expression profiles, have heightened resistance to antibiotics (up to 1,000-fold), and are less detectable/ accessible to the immune system. The current approach for treating biofilm infections is far from optimal: antibiotics are administered in a trial-and-error manner.

Read more